Skip to main content

Home

University of California San Francisco

Utility Menu

About UCSF Search UCSF UCSF Health
Helen Diller Family Comprehensive Cancer Center Open Menu

Main navigation

  • For Patients
    • Visit Us
      • Find a Doctor
      • Find a Clinic
      • Request an Appointment
      • Facilities and Directions
      • Upcoming Patient Events
      • MyChart
    • Support Services
      • Art for Recovery
      • Cancer Support Center
      • Psycho-Oncology
      • Smoking Cessation Support
      • Social Work
      • Survivorship
      • Symptom Management
    • For New Patients
      • Cancer Center Guidebook
      • New Patient Orientation
      • Browse by Cancer Clinic
      • Checklist of Services and Resources
    • Specialized Care
  • For Researchers
    • Research Resources
      • Core Facilities
      • Clinical Research Support
      • Education & Training
      • Cancer Registry
      • Funding Opportunities
      • Events & Seminars
    • Cancer Center Membership
      • Membership Directory
      • Member Benefits & Criteria
      • How to Apply
    • Cancer Research Overview
      • Our Key Initiatives
      • Our Research Themes
    • NCI-Supported Programs
    • Office of Community Engagement
  • Our Research Priorities
    • Research Themes
      • Cancer Disparities
      • Hereditary Cancers
      • Immunotherapy
      • Population Health
      • Precision Medicine
      • Therapeutic Cellular Engineering
    • Key Initiatives
      • Center for BRCA Research
      • Global Cancer Program
      • Molecular Oncology Initiative
      • Precision Cancer Medicine Building
      • Precision Imaging of Cancer and Therapy
      • San Francisco Cancer Initiative
      • UC Cancer Consortium
      • UCSF Cancer Research Strategic Plan
    • Browse all Cancer Research
  • About
    • Our Cancer Center
      • About Us
      • History & Overview
      • Contact Us
      • Jobs
    • News & Events
      • News
      • In The Media
      • Events
      • Podcasts
      • Videos
    • People
      • Directory of Faculty and Staff
      • Executive Leadership
      • Cancer Center Members
      • Faculty Member Labs
      • For HDFCCC Community
      • Communications and Media
  • Clinical Trials
    • Find a Clinical Trial
    • About Clinical Trials
      • New! Clinical Trials Matching Tool
      • Clinical Research at HDFCCC
      • For Referring Physicians
  • Giving
Image
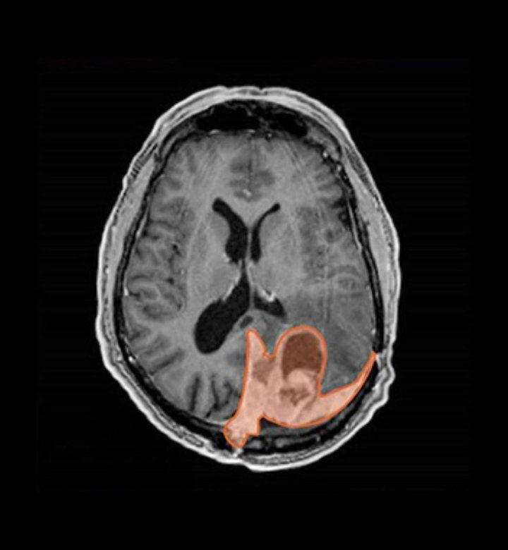
Seven Research Projects Funded through Cancer Health Outcomes SPORE

Seven Research Projects Funded through Cancer Health Outcomes SPORE

Seven investigators have been awarded grants this fall for research on factors driving differences in health outcomes in meningioma, prostate cancer, and breast cancer.
Image
Julie Ann Sosa, MD

Improving Management and Treatment of Thyroid Cancer

UCSF’s Julie Ann Sosa, MD, co-led international task force establishing new clinical guidelines for the management of differentiated thyroid cancer.
Image
KRAS Signalling pathway

From Undruggable to Unstoppable: A New Cancer Cure Target Emerges

NIH-funded discoveries by UCSF's Kevan Shokat, PhD have produced the world’s first drugs that target mutations in the KRAS gene which cause a quarter of all cancerous tumors.
Image
SFMOMA - Art for Recovery exhibit viewed on opening night

Showcasing Art that Celebrates Creativity and Healing Amid Cancer

First of its kind display at SFMOMA by UCSF Health patients
Image
Fibroblasts

How to Thwart Cancer: Drug the Cells It Uses to Grow and Shapeshift

Image
AORTIC conference

UCSF Faculty and Fellows Present at 2025 AORTIC Conference

Our Global Cancer Program joined international collaborators at the African Organisation for Research and Training in Cancer (AORTIC) conference in Tunisia.
Image
Lee May UCSF Multiple Myeloma patient standing next to a fence by an open field

‘Every Time I Relapsed, There Would Be a New Course of Therapy’

He was told cancer would kill him in two to four years. Fourteen years later, he credits a series of medications and treatments funded by the National Institutes of Health.
Image
Graduate Showcase

Showcase Offers Range of Cancer Biology Research for Graduate Students

In September, our Office of Education and Training coordinated a Cancer Research Showcase for Graduate Students, designed to introduce the vibrant cancer research community at UCSF to students across PhD and MD/PhD programs who wish to pursue a degree in cancer biology.
Image
Ajay V. Maker, MD, FACS, FSSO

Novel Immunotherapy Combination Destroys Colorectal Liver Metastases

Researchers from UC San Francisco, have discovered that a novel combination of immunotherapies can reprogram the immune environment of colon cancer tumors that spread to the liver.
Image
Shawn Hervey-Jumper

How AI is Changing Brain Tumor Surgery

High-tech imaging approaches allow neurosurgeons to interpret tissue samples during surgery to remove previously invisible malignant cells.
Image
Joan and Sandy Weill

Gift Launches $200M Initiative for the Weill Cancer Hub West

Matching grant from Weill family creates collaborative research hub, uniting scientists from UCSF and Stanford Medicine to transform cancer care within a decade.
Twitter LinkedIn YouTube Podcasts See More News
Office of Community Engagement

Community Engagement

Wendell Lim, PhD demonstrates the cellbots which his team uses for cancer research at UCSF.

Groundbreaking Research

Education and Training

Education and Training


Give

Help Accelerate Cancer Research

Consider donating today.

Person Header
Thomas Hope

Meet Our People

Thomas Hope, MD

Vice Chair, Clinical Operations and Strategy, Department of Radiology and Biomedical Imaging; Professor, Abdominal Imaging and Nuclear Medicine, UCSF

Upcoming Events

 

Latest Video

Footer

  • For Patients
  • For Researchers
  • Our Research Priorities

NCI Designated Cancer Center

Copyright © 2025 University of California Regents. All Rights Reserved.
UCSF Helen Diller Family Comprehensive Cancer Center

Footer Copyright Menu

  • Contact Us
  • Accessibility
  • Privacy Policy
  • Terms of Use
  • A-Z Website List

Main navigation

  • For Patients
    • Visit Us
      • Find a Doctor
      • Find a Clinic
      • Request an Appointment
      • Facilities and Directions
      • Upcoming Patient Events
      • MyChart
    • Support Services
      • Art for Recovery
      • Cancer Support Center
      • Psycho-Oncology
      • Smoking Cessation Support
      • Social Work
      • Survivorship
      • Symptom Management
    • For New Patients
      • Cancer Center Guidebook
      • New Patient Orientation
      • Browse by Cancer Clinic
      • Checklist of Services and Resources
    • Specialized Care
  • For Researchers
    • Research Resources
      • Core Facilities
      • Clinical Research Support
      • Education & Training
      • Cancer Registry
      • Funding Opportunities
      • Events & Seminars
    • Cancer Center Membership
      • Membership Directory
      • Member Benefits & Criteria
        • Communications Support
          • Identity
          • Social Media
          • Newsletters
          • FAQ for Members
      • How to Apply
    • Cancer Research Overview
      • Our Key Initiatives
      • Our Research Themes
    • NCI-Supported Programs
    • Office of Community Engagement
  • Our Research Priorities
    • Research Themes
      • Cancer Disparities
      • Hereditary Cancers
      • Immunotherapy
      • Population Health
      • Precision Medicine
      • Therapeutic Cellular Engineering
    • Key Initiatives
      • Center for BRCA Research
      • Global Cancer Program
      • Molecular Oncology Initiative
      • Precision Cancer Medicine Building
      • Precision Imaging of Cancer and Therapy
      • San Francisco Cancer Initiative
      • UC Cancer Consortium
      • UCSF Cancer Research Strategic Plan
    • Browse all Cancer Research
  • About
    • Our Cancer Center
      • About Us
        • President's Welcome
        • Executive Leadership
        • Advisory Boards
        • Affiliated Hospitals and Clinics
        • Lawrence Berkeley National Laboratory
        • NCI-Designation and Accreditation
        • Facilities and Directions
      • History & Overview
        • Facts & Figures
        • Accomplishments and Research Discoveries
        • Recent Awards
        • Members with Scientific Distinction
      • Contact Us
      • Jobs
    • News & Events
      • News
      • In The Media
      • Events
      • Podcasts
        • CureTalks@UCSFCancer Research Interviews
      • Videos
    • People
      • Directory of Faculty and Staff
      • Executive Leadership
      • Cancer Center Members
      • Faculty Member Labs
      • For HDFCCC Community
      • Communications and Media
  • Clinical Trials
    • Find a Clinical Trial
    • About Clinical Trials
      • New! Clinical Trials Matching Tool
      • Clinical Research at HDFCCC
      • For Referring Physicians
  • Giving