News

Aggressive Growth of Common Brain Tumors Linked to Single Gene

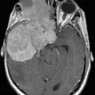
UC San Francisco scientists have uncovered a common genetic driver of aggressive meningiomas, which could help clinicians detect such dangerous cancers earlier and lead to new therapies aimed at curing these difficult-to-treat tumors. Meningiomas are tumors that grow from the layer of tissue that

Leading Global Awareness Efforts for HPV

Joel Palefsky, MD, professor of Medicine/Infection Diseases and a member of the HDFCCC Cancer Control and Cancer and Immunity programs, recently organized the first International HPV Awareness Day. More than 80 institutions and advocacy organizations from over 40 countries on every continent

UCSF Retains Position as Top Public Recipient of NIH Funding

​ In 2017, UC San Francisco received more biomedical research funding from the National Institutes of Health (NIH) than any other public institution, continuing a seven-year trend, according to annual figures from the NIH. In addition, UCSF was the second-highest grant recipient among all public and

E-Cigarette Use Exposes Teens to Toxic Chemicals

Adolescents who smoke e-cigarettes are exposed to significant levels of potentially cancer-causing chemicals also found in tobacco cigarettes, even when the e-cigarettes do not contain nicotine, according to a study by UC San Francisco researchers. "Teenagers need to be warned that the vapor

Strength in numbers: UCSF is forging collaborative partnerships in new fights against cancer

Like millions of others, Alan Ashworth has been touched by cancer. What’s different from many is that he may be able to change its direction. Ashworth, the president of UCSF’s Helen Diller Family Comprehensive Cancer Center, saw his father die six months after a lung cancer diagnosis. Even as a

Meditation room named for Jeff Pearl, Mount Zion's 'heart'

Jeff Pearl was Mount Zion. He lived and breathed the hospital, its patients and families, and staff; and he was as much a part of Mount Zion as the hospital was a part of him. Jeff Pearl, in a photo from the 2000 UCSF School of Medicine Annual Report (Robert Foothorap photo) Known for his warmth as

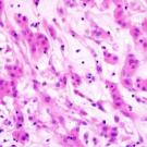
Genome Sequencing Uncovers Therapy for Rare Brain Tumor

Brain tumors are among the deadliest forms of cancer, due in large part to their sensitive location and the challenge of performing surgery to remove them. New research led by David Solomon,MD, PhD, an assistant professor in the Department of Pathology at UC San Francisco, provides much-needed